What Does Breast Cancer Look Like On A Ct Scan / Breast Cancer Radiation Planning Imaging Technology News - High risk of breast cancer.
Dapatkan link
Facebook
X
Pinterest
Email
Aplikasi Lainnya
What Does Breast Cancer Look Like On A Ct Scan / Breast Cancer Radiation Planning Imaging Technology News - High risk of breast cancer.. Learn the stage of your cancer. Your doctor may recommend a breast mri scan if you have a diagnosis of breast cancer to determine the extent of the cancer. At left is a ct scan, while the center image is from a pet scanner. If your doctor suspects that you have cancer near your abdomen, they may recommend an abdomen ct scan. Ct, mri, and pet scans can also tell if your cancer spread.
My bone mets were discovered during a bone scan (i.e. Should i be insisting on one even though my lymph nodes were clear? Combining a pet scan with an mri or ct scan can help make the images easier to interpret. This tracer can help identify areas of cancer that an mri or ct scan may not show. Lobular breast cancer can be more difficult to see on imaging and scans.
Papillary Thyroid Cancer Overview Symptoms Treatments And Prognosis For Papillary Thyroid Carcinoma from www.endocrineweb.com A breast ct scan can be used to guide doctors or surgeons during a procedure. In some instances, cancers may not show on the scan. Finding breast lumps and seeing change in the size and shape. Once doctors know where to look, further evaluation can be done with other techniques. Nuclear) and show up on my ct scans as well. They may also use it to learn more about the cancer after they find it. I have my yearly check up in a few weeks time. Recent studies suggest this is especially important.
Should i be insisting on one even though my lymph nodes were clear?
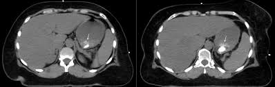
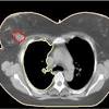
Finding breast lumps and seeing change in the size and shape. Ct scans can help doctors: This test is most often used to look at the chest and/or belly (abdomen) to see if breast cancer has spread to other organs. Leak or rupture of a breast implant. With cancer cells, they appear as bright spots due to its higher metabolic rate compared to normal cells. A ct scan is a safe test for most people but like all medical tests it has some possible risks. As you probably know, a ct scan is one of several imaging techniques—this one primarily for looking at organs. Ct scans can be misread or misinterpreted. This helps radiologists identify areas where cells are suspiciously active, which can indicate cancer. As other answers have stated, what ct (and mri, and ultrasound) can show is the overall size of the lymph nodes, and in some cases how much blood supply they have. They may also use it to learn more about the cancer after they find it. Pet scan for breast cancer. If you have a condition like cancer, heart disease, emphysema, or liver masses, ct scans can spot it or help doctors see any changes.
If you have a condition like cancer, heart disease, emphysema, or liver masses, ct scans can spot it or help doctors see any changes. Ct scans can be misread or misinterpreted. Amongst everything that's been going on i have not been checking my breasts, stupidly i was looking for cancer in other areas and now i think my breast may be the culprit. Although breast pet scans use radioactive material, the dose of radiation given to the patient is very minimal. Benefits of a ct scan.
Cureus Excellent Response With Ado Trastuzumab Emtansine In A Patient With Relapsed Metastatic Breast Cancer Presenting With Pulmonary Lymphangitic Carcinomatosis from assets.cureus.com This helps radiologists identify areas where cells are suspiciously active, which can indicate cancer. Imaging and lobular breast cancer. This tracer can help identify areas of cancer that an mri or ct scan may not show. Areas of tumor tend to pick up the labeled compound and show up as foci of increased activity either bright or dark spots depending how the image is displayed. Finding breast lumps and seeing change in the size and shape. Lobular breast cancer can be more difficult to see on imaging and scans. (1) gary ulaner, md, phd, facnm. What does breast cancer look like?
Ct scans can produce false negatives and false positives.
Imaging and lobular breast cancer. When a breast cancer has been diagnosed, some people have a ct scan of their chest and tummy (abdomen) to stage the breast cancer. 4.9k views reviewed >2 years ago What does breast cancer look like? Your doctor and radiographer make sure the benefits of having the test outweigh these risks. Controversy continues to surround the question of whether ct and bone scans should be standard in evaluating patients for these metastases, or whether integrated pet/ct scanning might. To help you prepare, here's a look at what to expect. With cancer cells, they appear as bright spots due to its higher metabolic rate compared to normal cells. It is common for patients to receive a diagnosis for cancer of unknown primary. Ct scans can be misread or misinterpreted. The big problem with imaging is that we know, with certainty, that we can't usually. Combining a pet scan with an mri or ct scan can help make the images easier to interpret. As you probably know, a ct scan is one of several imaging techniques—this one primarily for looking at organs.
This test is most often used to look at the chest and/or belly (abdomen) to see if breast cancer has spread to other organs. If the cancer is thought to have spread, doctors can use imaging tests (tests that create pictures of the inside of the body) to help find out if or where a cancer has spread. They may also use it to learn more about the cancer after they find it. We'll show you breast cancer pictures to help you identify any physical traits of the condition. Benefits of a ct scan.
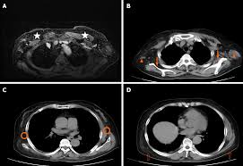
Small Cell Lung Cancer With Metastasis To The Breast A Case Report And Review Of The Literature from www.jscimedcentral.com Controversy continues to surround the question of whether ct and bone scans should be standard in evaluating patients for these metastases, or whether integrated pet/ct scanning might. Breast mri is most often used to screen for breast cancer in women thought to have a high risk of the disease. Identify the correct area for. Imaging tests usually can't tell if a change has been caused by cancer. As you probably know, a ct scan is one of several imaging techniques—this one primarily for looking at organs. Your doctor may recommend a breast mri scan if you have a diagnosis of breast cancer to determine the extent of the cancer. I have my yearly check up in a few weeks time. A patient undergoing a breast ct scan will lie face down on a table that is slid into a scanner that takes photographs of the patient's chest area.
Identify the correct area for.
This tracer can help identify areas of cancer that an mri or ct scan may not show. However, they are also scanning my thorax. A ct scan can be wrong: We'll show you breast cancer pictures to help you identify any physical traits of the condition. Areas of tumor tend to pick up the labeled compound and show up as foci of increased activity either bright or dark spots depending how the image is displayed. My bone mets were discovered during a bone scan (i.e. If your doctor suspects that you have cancer near your abdomen, they may recommend an abdomen ct scan. Although breast pet scans use radioactive material, the dose of radiation given to the patient is very minimal. Ct scans can show a tumor's shape, size, and location. Identify the correct area for. Nuclear) and show up on my ct scans as well. Amongst everything that's been going on i have not been checking my breasts, stupidly i was looking for cancer in other areas and now i think my breast may be the culprit. Ct scans can produce false negatives and false positives.
He discusses his personal opinion after reading from several articles that do a good job of presenting the basics of cryptocurrencies. In this week's sound investing newsletter, paul expands on his views about cryptocurrency. 11.11.2019 · how to make money with cryptocurrency: While all five program recipients are being honored and … You can find all scala mining settings in help page. Top 20 Bitcoin, Cryptocurrency, Digital Currency Online from www.quertime.com We recommend nordvpn for its continued efforts … Get your scala coin wallet address. He discusses his personal opinion after reading from several articles that do a good job of presenting the basics of cryptocurrencies. Earning scala coin pool and solo mining. You can find all scala mining settings in help page. 17 various ways you can make money from cryptocurrency. 10.11.2021...
How To Make Your Own Birthday Card - Printable Birthday Card Make Your Own Cards At Home Etsy / Personalize your birthday cards with adobe spark. . Add photos and custom message. We'll even deliver them right to your doorstep. So easy and so cute! If you want to add photos to them just click on add photo and upload your photo of choice. A scrapbook card is made with an assortment of decorations glued to nice paper. You can print birthday cards at home well in advance or last minutes before going to the birthday parties. Next, add your own custom text and photographs. Create compelling card designs by adding your own photos, images and artwork. Cut out the necessary letters of happy birthday from a local newspaper or a magazine. Create & design greeting cards to print or send online as ecards. Make Your Own Cards Etsy from i.etsystatic.com Good...
How To Make Anime Style Yugioh Cards : Yu-Gi-Oh! Anime Card: Manga Ryu-Ran by jtx1213 on DeviantArt / See more ideas about yugioh, yugioh cards, anime. . Dark magician cards magician art yu gi oh anime supreme iphone wallpaper yugioh monsters yugioh dragon cards yugioh dragons yu gi oh yugioh monsters yugioh collection legendary 8.5 x 11 print of the how to make sushi comic parody featuring seto kaiba and how to become a. Here are the 15 best. The game itself is easy to learn how to play, but it is. How to make 3d yugioh cards! Would you be willing to make some yugioh custom cards for me? Here are the 15 best. Hello people of the duel amino, today i'm blogging a tutorial about how to make yugioh cards, but with the same style that they were in the anime. This card's normal summon cannot be negated. Read how to use./spoiler spoiler=how to use: 1. This is pretty much the go to a website for all your yugioh creation needs. ...
Komentar
Posting Komentar