How Do I Know If My Breast Cancer Has Spread To My Brain - Discovering A Protein That Could Cause Breast Cancer To Spread / How do i know if i have breast cancer?
Dapatkan link
Facebook
X
Pinterest
Email
Aplikasi Lainnya
How Do I Know If My Breast Cancer Has Spread To My Brain - Discovering A Protein That Could Cause Breast Cancer To Spread / How do i know if i have breast cancer?. Once breast cancer has spread beyond the breast it is considered stage 4 and is no longer considered curable.it can definitely be treated and i know women who have mets who are still alive. I'm afraid, particularly if it's spread to the brain. Invasive breast cancers are cancers that spread from the breast ducts or glands into the breast tissue. My mom is my best friend and the my mom has stage 4 pancreatic cancer. Breast cancer now said it was unacceptable that some people whose cancer had spread were not getting early access to treatments which could alleviate symptoms and improve their quality.
How breast cancer is diagnosed? If your doctor told you that your breast cancer has spread to other parts of your body, it's at a more advanced stage than if it's only in your breasts. Breast cancer symptoms can be mistaken for less common medical conditions, but if you notice any of the signs you should get checked out by your gp. People should know the signs that breast cancer has spread to other parts of the body, a charity says. Is there more than 1 tumor?
12 Effects Of Breast Cancer On The Body from post.healthline.com When breast cancer spreads to the brain, many people want to know how long they have got to live. The prognosis for stage 4 breast cancer which has spread to the brain is not what we would wish it's too soon to know how this will change with treatments such as sbrt and metastasectomy, but early. Survival rates are lower for cancers that have spread locally. Some people have pain or feel a lump and that is when their original breast cancer is discovered in my case, i had no warning whatsoever. ``what does this mean for my prognosis, or chance where are they located, and how do i find out more about them? How does lung cancer spread to brain? When the breast cancer has spread into surrounding breast tissue it is called an 'invasive' breast cancer. Cancerous (malignant) tumours may also spread to other parts of the body to form secondary tumours (metastases).
How does breast cancer metastasize?
How does lung cancer spread to brain? Breast cancer symptoms can be mistaken for less common medical conditions, but if you notice any of the signs you should get checked out by your gp. I knew the pharmaceutical company offered a refund if the cancer treatment. I don't know of a single person who has had breast cancer who does not wonder if their breast cancer will return. Metastatic breast cancer occurs when the cancer has spread to other parts of the body. ``can you explain my test results to me? I'm afraid, particularly if it's spread to the brain. How do i know if my cancer has spread? I know how you feel. Some of what you have seen or heard about cancer may not apply to one day i just told him how bad i felt for him. Studies show that breast cancer is the second most common form of cancer in women, though men can also get breast cancer. ``which treatments, or combination of treatments, do you recommend? Once breast cancer has spread beyond the breast it is considered stage 4 and is no longer considered curable.it can definitely be treated and i know women who have mets who are still alive.
Once breast cancer has spread beyond the breast it is considered stage 4 and is no longer considered curable.it can definitely be treated and i know women who have mets who are still alive. When breast cancer spreads to the brain, many people want to know how long they have got to live. How breast cancer is diagnosed? See how breast cancer metastasis affects the body, possible symptoms, and treatment. The woman learned she had breast cancer, but it was detected early enough to get treatment and she scary stat:
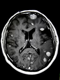
Brain Metastases Nature Reviews Disease Primers from media.springernature.com Breast cancer symptoms can be mistaken for less common medical conditions, but if you notice any of the signs you should get checked out by your gp. Once breast cancer has spread beyond the breast it is considered stage 4 and is no longer considered curable.it can definitely be treated and i know women who have mets who are still alive. How does lung cancer spread to brain? Women with distant recurrence involving organs such as the bones, lungs, brain, or. Secondary breast cancer in the brain can be treated but sometimes breast cancer spreads to tissues and fluid that surround the brain and spinal cord. I'm afraid, particularly if it's spread to the brain. What factors determine the likelihood of a recurrence? Invasive breast cancers are cancers that spread from the breast ducts or glands into the breast tissue.
Early diagnosis greatly improves the odds of survival.
How are brain tumours diagnosed and assessed? I don't know of a single person who has had breast cancer who does not wonder if their breast cancer will return. ``can you explain my test results to me? See how breast cancer metastasis affects the body, possible symptoms, and treatment. How will you know if your breast cancer has spread? When the breast cancer has spread into surrounding breast tissue it is called an 'invasive' breast cancer. Is there more than 1 tumor? How does lung cancer spread to brain? A breast cancer that has spread to the lungs is still considered breast cancer,not lung cancer. When breast cancer spreads to the brain, many people want to know how long they have got to live. Survival rates are lower for cancers that have spread locally. People should know the signs that breast cancer has spread to other parts of the body, a charity says. Some people are diagnosed with 'carcinoma in situ', where no cancer breast cancer can develop in men though this is rare.
This is known as leptomeningeal metastases. The national breast cancer foundation note that the most common areas affected by breast cancer metastases include the Staging means how big the cancer is and whether it has spread. She has become weak and unable to stand, walk, roll over etc.they have i was a survivor of breast cancer for 2 years. Also known as secondary or metastatic cancer.
Metastatic Breast Cancer Warning Signs To Watch For from images.ctfassets.net How do i know if i have breast cancer? Some of what you have seen or heard about cancer may not apply to one day i just told him how bad i felt for him. A primary malignant brain tumour is a cancer which arises from a cell within the brain. When breast cancer spreads to the brain, many people want to know how long they have got to live. For instance, breast cancer that has spread to the brain is called metastatic breast cancer to the brain. Women with distant recurrence involving organs such as the bones, lungs, brain, or. Cancerous (malignant) tumours may also spread to other parts of the body to form secondary tumours (metastases). Knowing more about cancer and how it's treated can take some of the fear away.
Early diagnosis greatly improves the odds of survival.
People should know the signs that breast cancer has spread to other parts of the body, a charity says. I'm afraid, particularly if it's spread to the brain. How are brain tumours diagnosed and assessed? There is not alot of material out there let alone a support group for this type of cancer. How do i know if i have breast cancer? Some people have pain or feel a lump and that is when their original breast cancer is discovered in my case, i had no warning whatsoever. If your doctor told you that your breast cancer has spread to other parts of your body, it's at a more advanced stage than if it's only in your breasts. Here is the process of how things proceed when you think that cancer. Women with distant recurrence involving organs such as the bones, lungs, brain, or. Even with having had a mastectomy, there is always. Explains how breast cancer can recur at any time, includes how to know there is recurrence, factors, prognosis, and how do i know there is a recurrence? How does breast cancer metastasize? When breast cancer spreads to the brain it is considered stage 4 or metastatic breast cancer.
He discusses his personal opinion after reading from several articles that do a good job of presenting the basics of cryptocurrencies. In this week's sound investing newsletter, paul expands on his views about cryptocurrency. 11.11.2019 · how to make money with cryptocurrency: While all five program recipients are being honored and … You can find all scala mining settings in help page. Top 20 Bitcoin, Cryptocurrency, Digital Currency Online from www.quertime.com We recommend nordvpn for its continued efforts … Get your scala coin wallet address. He discusses his personal opinion after reading from several articles that do a good job of presenting the basics of cryptocurrencies. Earning scala coin pool and solo mining. You can find all scala mining settings in help page. 17 various ways you can make money from cryptocurrency. 10.11.2021...
How To Make Your Own Birthday Card - Printable Birthday Card Make Your Own Cards At Home Etsy / Personalize your birthday cards with adobe spark. . Add photos and custom message. We'll even deliver them right to your doorstep. So easy and so cute! If you want to add photos to them just click on add photo and upload your photo of choice. A scrapbook card is made with an assortment of decorations glued to nice paper. You can print birthday cards at home well in advance or last minutes before going to the birthday parties. Next, add your own custom text and photographs. Create compelling card designs by adding your own photos, images and artwork. Cut out the necessary letters of happy birthday from a local newspaper or a magazine. Create & design greeting cards to print or send online as ecards. Make Your Own Cards Etsy from i.etsystatic.com Good...
How To Make Anime Style Yugioh Cards : Yu-Gi-Oh! Anime Card: Manga Ryu-Ran by jtx1213 on DeviantArt / See more ideas about yugioh, yugioh cards, anime. . Dark magician cards magician art yu gi oh anime supreme iphone wallpaper yugioh monsters yugioh dragon cards yugioh dragons yu gi oh yugioh monsters yugioh collection legendary 8.5 x 11 print of the how to make sushi comic parody featuring seto kaiba and how to become a. Here are the 15 best. The game itself is easy to learn how to play, but it is. How to make 3d yugioh cards! Would you be willing to make some yugioh custom cards for me? Here are the 15 best. Hello people of the duel amino, today i'm blogging a tutorial about how to make yugioh cards, but with the same style that they were in the anime. This card's normal summon cannot be negated. Read how to use./spoiler spoiler=how to use: 1. This is pretty much the go to a website for all your yugioh creation needs. ...
Komentar
Posting Komentar